Серозные пограничные опухоли яичников сравнительно частый объект исследования, но сколько бы они не встретились - всё равно найдутся какие-то сложности и вопросы
То имплант какой-нибудь странно выглядит, то микроинвазия привидится
С другой стороны, сами папиллярные, а порой и микропапиллярные, структуры отличаются своим особенным очарованием и редко вызывают диагностические трудности
То имплант какой-нибудь странно выглядит, то микроинвазия привидится
С другой стороны, сами папиллярные, а порой и микропапиллярные, структуры отличаются своим особенным очарованием и редко вызывают диагностические трудности
❤15👍7😍1
Любопытная эндометриоидная аденокарцинома, содержащая в себе как участки солидного строения (фото 3), так и практически идеализированные железы, формирующие что-то похожее на рисунок с подушечки пальца
Если в операционном материале это всё выглядело достаточно логично и не вызывало вопрос само по себе, то в материале соскоба из иного учреждения всё выглядело значительно хуже - вплоть до того, складывалось представление о смешанной опухоли в виду гиперхроматоза клеток в солидном компоненте и вакуолизации цитоплазмы части из них ( к сожалению, микрофотографии не успелось сделать)
Если в операционном материале это всё выглядело достаточно логично и не вызывало вопрос само по себе, то в материале соскоба из иного учреждения всё выглядело значительно хуже - вплоть до того, складывалось представление о смешанной опухоли в виду гиперхроматоза клеток в солидном компоненте и вакуолизации цитоплазмы части из них ( к сожалению, микрофотографии не успелось сделать)
❤21
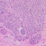
Не-ассоциированные с ВПЧ эпителиальные поражения вульвы могут быть просты и понятны, когда сталкиваешься с ними часто (наверно, я хочу в это верить)
Если же такой случай приходит раз в несколько месяцев - то уверенность не так велика, как хотелось бы
Впрочем, в данном случае всё показалось достаточно простым и убедительным - изменённый участок определялся макроскопически, да и гистологически чётко видна разница с фоновым эпителием - значительное увеличение числа слоёв эпителиального пласта за счёт пара- и гиперкератоза, практически полное исчезновение зернистого слоя, акантоз и немного почаще встречающиеся фигуры митозов в парабазальном слое, хотя стоит отметить, что какой-то особенной атипии клеток не определяется
Если же такой случай приходит раз в несколько месяцев - то уверенность не так велика, как хотелось бы
Впрочем, в данном случае всё показалось достаточно простым и убедительным - изменённый участок определялся макроскопически, да и гистологически чётко видна разница с фоновым эпителием - значительное увеличение числа слоёв эпителиального пласта за счёт пара- и гиперкератоза, практически полное исчезновение зернистого слоя, акантоз и немного почаще встречающиеся фигуры митозов в парабазальном слое, хотя стоит отметить, что какой-то особенной атипии клеток не определяется
❤15🔥4🤨1
По просьбам трудящихся - любопытная зрелая тератома с достаточно большим содержанием зрелой нервной ткани, частично покрывающейся многослойным плоским эпителием (фото 1), окружающей бронхоподобные структуры с респираторной выстилкой и зрелым хрящом (фото 3) или просто соседствующей с группой желёз, напоминающей ткань поджелудочной железы (фото 5)
На макро уровне многие зрелые тератомы яичников обыденно представляют собой, не побоюсь этого выражения, мерзкие кисты с неприятным содержимым из сала и волос, но даже в них порой можно найти значительно больший спектр типов тканей, чем кажется на первый взгляд, что говорить о тех, кто коварно прикидывается иными кистозно-солидными опухолями и по неведомым причинам имеют малое количество эктодермального компонента
Безусловно, в таких случаях стоит взять в исследование большее количество материала для уверенного исключения незрелой тератомы или обнаружения компонента из иной герминогенной опухоли
На макро уровне многие зрелые тератомы яичников обыденно представляют собой, не побоюсь этого выражения, мерзкие кисты с неприятным содержимым из сала и волос, но даже в них порой можно найти значительно больший спектр типов тканей, чем кажется на первый взгляд, что говорить о тех, кто коварно прикидывается иными кистозно-солидными опухолями и по неведомым причинам имеют малое количество эктодермального компонента
Безусловно, в таких случаях стоит взять в исследование большее количество материала для уверенного исключения незрелой тератомы или обнаружения компонента из иной герминогенной опухоли
🔥21❤5👍1
Редко, но бывают и консультативные случаи с минимальной входной информацией и слабой возможностью добыть полезные сведения
В данном случае, помимо возраста пациентки (37 лет), известно об аденомиозе, но почему в представленных препаратах очаги со столь выраженной децидуализацией клеток стромы и атрофией эпителия желёз - история умалчивает, хотя, безусловно, можно предположить приём гормональной терапии
Ну и подивиться такой яркой реакции эндометриоидных очагов
В данном случае, помимо возраста пациентки (37 лет), известно об аденомиозе, но почему в представленных препаратах очаги со столь выраженной децидуализацией клеток стромы и атрофией эпителия желёз - история умалчивает, хотя, безусловно, можно предположить приём гормональной терапии
Ну и подивиться такой яркой реакции эндометриоидных очагов
❤20🔥2😍2