Гинопати – Telegram
Гинопати
616 subscribers
265 photos
Канал существует для удовлетворения чувства прекрасного и расширения кругозора, образовательной и просветительские цели не преследует
Автор человек и может быть не прав
Консультации по фотографиям и со слов автор не даёт и осуждает
Download Telegram
Иногда случаются ситуации, когда идеи отсутствуют совместно с клиническим данными, состоящими из скромного диагноза "Миома матки"
Как так вышло такое буйство красок в обычной, казалось бы, матке? Какие события происходили в узле? Что нужно написать?
Гистология не только не внесла ясности, а полностью разрушила любые попытки объяснить происходящее
Ну, наверно определённо есть нарушения кровообращения в узле, наверняка
К сожалению, опция дополнить базовую гистологию не менее базовым ИГХИ отсутствовала, так что пришлось конструировать что-то , состоящее из сомнений и предположений, и вряд ли когда-то появится ясность в этом случае
10🔥8
Серозные пограничные опухоли яичников сравнительно частый объект исследования, но сколько бы они не встретились - всё равно найдутся какие-то сложности и вопросы
То имплант какой-нибудь странно выглядит, то микроинвазия привидится
С другой стороны, сами папиллярные, а порой и микропапиллярные, структуры отличаются своим особенным очарованием и редко вызывают диагностические трудности
15👍7😍1
Любопытная эндометриоидная аденокарцинома, содержащая в себе как участки солидного строения (фото 3), так и практически идеализированные железы, формирующие что-то похожее на рисунок с подушечки пальца
Если в операционном материале это всё выглядело достаточно логично и не вызывало вопрос само по себе, то в материале соскоба из иного учреждения всё выглядело значительно хуже - вплоть до того, складывалось представление о смешанной опухоли в виду гиперхроматоза клеток в солидном компоненте и вакуолизации цитоплазмы части из них ( к сожалению, микрофотографии не успелось сделать)
21
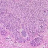
Не-ассоциированные с ВПЧ эпителиальные поражения вульвы могут быть просты и понятны, когда сталкиваешься с ними часто (наверно, я хочу в это верить)
Если же такой случай приходит раз в несколько месяцев - то уверенность не так велика, как хотелось бы
Впрочем, в данном случае всё показалось достаточно простым и убедительным - изменённый участок определялся макроскопически, да и гистологически чётко видна разница с фоновым эпителием - значительное увеличение числа слоёв эпителиального пласта за счёт пара- и гиперкератоза, практически полное исчезновение зернистого слоя, акантоз и немного почаще встречающиеся фигуры митозов в парабазальном слое, хотя стоит отметить, что какой-то особенной атипии клеток не определяется
15🔥4🤨1
По просьбам трудящихся - любопытная зрелая тератома с достаточно большим содержанием зрелой нервной ткани, частично покрывающейся многослойным плоским эпителием (фото 1), окружающей бронхоподобные структуры с респираторной выстилкой и зрелым хрящом (фото 3) или просто соседствующей с группой желёз, напоминающей ткань поджелудочной железы (фото 5)
На макро уровне многие зрелые тератомы яичников обыденно представляют собой, не побоюсь этого выражения, мерзкие кисты с неприятным содержимым из сала и волос, но даже в них порой можно найти значительно больший спектр типов тканей, чем кажется на первый взгляд, что говорить о тех, кто коварно прикидывается иными кистозно-солидными опухолями и по неведомым причинам имеют малое количество эктодермального компонента
Безусловно, в таких случаях стоит взять в исследование большее количество материала для уверенного исключения незрелой тератомы или обнаружения компонента из иной герминогенной опухоли
🔥215👍1
Редко, но бывают и консультативные случаи с минимальной входной информацией и слабой возможностью добыть полезные сведения
В данном случае, помимо возраста пациентки (37 лет), известно об аденомиозе, но почему в представленных препаратах очаги со столь выраженной децидуализацией клеток стромы и атрофией эпителия желёз - история умалчивает, хотя, безусловно, можно предположить приём гормональной терапии
Ну и подивиться такой яркой реакции эндометриоидных очагов
20🔥2😍2