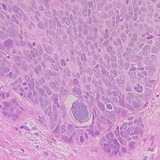
Начнём с непривычного
Опустим лирику клинических данных, за исключением данных о соскобе из полости матки с вердиктом - серозная карцинома
Макроскопически тело матки с большим количество крупных миом, опухоль представлена экзофитным полиповидным образованием, серо-белым, плотным, мелкобугристым, инвазия не определяется визуально. Также отмечается узел в строме шейки матки, аналогичный опухоли вышеописанного вида. В целом, соответствует ранее встречавшейся картине серозных карцином.
Гистологическая картина уже отличается разнообразием - помимо участков солидного строения с выраженной ядерной атипией, определяются и участки железистого строения, клеточная атипия значимо менее выражена. Особенно на первый взгляд, конечно, всматриваясь в такие эндометриодно-подобные участки, становятся очевидными и микропапиллярные структуры, и очагово выраженный плеоморфизм клеток.
При ИГХИ экспрессия ER/PR полностью отсутствуют в обоих зонах, яркая гиперэкспрессия р53 и неоднородная экспрессия Her2.
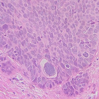
Опустим лирику клинических данных, за исключением данных о соскобе из полости матки с вердиктом - серозная карцинома
Макроскопически тело матки с большим количество крупных миом, опухоль представлена экзофитным полиповидным образованием, серо-белым, плотным, мелкобугристым, инвазия не определяется визуально. Также отмечается узел в строме шейки матки, аналогичный опухоли вышеописанного вида. В целом, соответствует ранее встречавшейся картине серозных карцином.
Гистологическая картина уже отличается разнообразием - помимо участков солидного строения с выраженной ядерной атипией, определяются и участки железистого строения, клеточная атипия значимо менее выражена. Особенно на первый взгляд, конечно, всматриваясь в такие эндометриодно-подобные участки, становятся очевидными и микропапиллярные структуры, и очагово выраженный плеоморфизм клеток.
При ИГХИ экспрессия ER/PR полностью отсутствуют в обоих зонах, яркая гиперэкспрессия р53 и неоднородная экспрессия Her2.
🔥2👍1
Казалось бы, ничего особенного на первый взгляд, и какая всё таки лирика в такой смеси опухолевых фенотипов
