Девушка 16 лет направлена гинекологом после медосмотра для углублённого обследования в связи с отсутствием менструаций
В ходе полного обследования был выявлен кариотип XY, направлена на хирургическое лечение для удаления дисгенетических гонад
Макроскопически - маточные трубы сформированы обычным образом, гонады с гладкой капсулой, на разрезе серо-жёлтого цвета с диффузным мелкоочаговым (зернистым) кальцинозом, с одной стороны - гладкостенная киста на разрезе
Микроскопически - гнёздно расположенные крупные клетки, экспрессирующие sall4 (фото 4), расположенные среди фиброзной стромы (часть клеток окрашивается prog - фото 5), так же определяются слоистые кальцинированные массы
Хотя макроскопически маточная труба выглядела совершенно обычно, но обнаружилось, что паратубарно определяются железистые структуры аналогичные таковым в придатке яичка (фото 6 и 7)
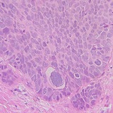
В ходе полного обследования был выявлен кариотип XY, направлена на хирургическое лечение для удаления дисгенетических гонад
Макроскопически - маточные трубы сформированы обычным образом, гонады с гладкой капсулой, на разрезе серо-жёлтого цвета с диффузным мелкоочаговым (зернистым) кальцинозом, с одной стороны - гладкостенная киста на разрезе
Микроскопически - гнёздно расположенные крупные клетки, экспрессирующие sall4 (фото 4), расположенные среди фиброзной стромы (часть клеток окрашивается prog - фото 5), так же определяются слоистые кальцинированные массы
Хотя макроскопически маточная труба выглядела совершенно обычно, но обнаружилось, что паратубарно определяются железистые структуры аналогичные таковым в придатке яичка (фото 6 и 7)
🔥18🤷2❤1
Лики муцинозной опухоли яичника, от муцинозной цистаденомы (фото 1) до муцинозной аденокарциномы (фото 4), в пределах одного гистологического препарата
🔥16👍13
Срочное гистологическое исследование, как много сложностей и проблем таится в этом назначении... Хорошо, и, наверно, немного скучно, когда всё понятно, и только один вопрос хочется задать - ну и зачем я смотрю дермоидную кисту в качестве объекта срочного исследования? и Совершенно иная картина, когда именно в контексте срочного исследования сталкиваешься с тем или иным видом опухоли впервые
Так и было в этот раз - по препарату "цито" (фото 1) единственный диагноз, который пришёл в голову была аденосаркома - яичника, ещё и у молодой женщины
На препарате уже залитой в парафин "цито" (фото 2) - уверенности стало вроде и поменьше, а вдруг это просто такой некрасивенький эндометриоз
Но основной массив материала (фото 3-4), конечно, уверил в своей зловредности, хоть и неравномерно распределённой - где-то множественные митозы в строме были очевидны, где-то лишь единичные, где-то железистый компонент соответствует условной норме, а где-то делает поползновения походить на по меньшей мере атипическую гиперплазию
Так и было в этот раз - по препарату "цито" (фото 1) единственный диагноз, который пришёл в голову была аденосаркома - яичника, ещё и у молодой женщины
На препарате уже залитой в парафин "цито" (фото 2) - уверенности стало вроде и поменьше, а вдруг это просто такой некрасивенький эндометриоз
Но основной массив материала (фото 3-4), конечно, уверил в своей зловредности, хоть и неравномерно распределённой - где-то множественные митозы в строме были очевидны, где-то лишь единичные, где-то железистый компонент соответствует условной норме, а где-то делает поползновения походить на по меньшей мере атипическую гиперплазию
❤15
А вот и второй объект с одной срочной - очаг в сальнике
В моменте показалось, что вроде всё выглядит так же, как и в яичнике, так что сложилось представление о метастатическом поражении
Однако в дальнейшем стало очевидно, что очаги в сальнике (а их было много) всё же имеют вид самого типичного и обычного эндометриоза без намёков на атипию кого-либо компонентов (фото 2-3)
В целом, в брюшной полости определялись множественные эндометриоидные гетеротопии, и лишь участок в параметрии с той же стороны, что и поражённый яичник, вызвал подозрения (фото 4-5) - больно уж некрасивые ядра у стромальных клеток, железистый компонент тоже уже не такой ровный и красивый, как у собратьев
В моменте показалось, что вроде всё выглядит так же, как и в яичнике, так что сложилось представление о метастатическом поражении
Однако в дальнейшем стало очевидно, что очаги в сальнике (а их было много) всё же имеют вид самого типичного и обычного эндометриоза без намёков на атипию кого-либо компонентов (фото 2-3)
В целом, в брюшной полости определялись множественные эндометриоидные гетеротопии, и лишь участок в параметрии с той же стороны, что и поражённый яичник, вызвал подозрения (фото 4-5) - больно уж некрасивые ядра у стромальных клеток, железистый компонент тоже уже не такой ровный и красивый, как у собратьев
❤13