Куда более частая опухоль, но в редком сочетании - серозная тубо-овариальная карцинома high grade у беременной
Опухоль была выявлена и гистологически подтверждена во 2 триместре, с учётом желания пациентки сохранить беременность - выполнялась химиотерапия, на 37 неделе выполнено кесарево сечение с пангистерэктомией, резекцией сальника и биопсией подозрительных участков брюшины
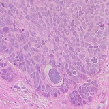
Очаги в сальнике с выраженной децидуальной реакцией (фото 1-2), резидуальная опухоль представлена небольшими группами клеток, большая часть очагов замещена скоплениями пенистых клеток (фото 3)
В яичнике (фото 4-5) определялась более крупные очаги опухолевого роста среди обширных полей некроза
Опухоль была выявлена и гистологически подтверждена во 2 триместре, с учётом желания пациентки сохранить беременность - выполнялась химиотерапия, на 37 неделе выполнено кесарево сечение с пангистерэктомией, резекцией сальника и биопсией подозрительных участков брюшины
Очаги в сальнике с выраженной децидуальной реакцией (фото 1-2), резидуальная опухоль представлена небольшими группами клеток, большая часть очагов замещена скоплениями пенистых клеток (фото 3)
В яичнике (фото 4-5) определялась более крупные очаги опухолевого роста среди обширных полей некроза
🔥24❤5👍3🦄1
Просто красивая трубная беременность, разве что жителя не хватает для полного комплекта
🔥14💔5👍2🕊2
Любопытный случай - в крупной конвенциальной лейомиоме (диаметром порядка 10-11 см) рос узел лейомиосаркомы, что было заметно ещё на макроуровне (фото 1)
Микроуровень в ещё большей степени продемонстрировал разницу между доброкачественной и злокачественной опухолями со сравнительно чётким "водоразделом" между ними (фото 2)
Микроуровень в ещё большей степени продемонстрировал разницу между доброкачественной и злокачественной опухолями со сравнительно чётким "водоразделом" между ними (фото 2)
🔥29👍6😱2🤔1
Видишь серозный рак? - А он есть
Конечно, можно вглядеться и обнаружить маленькие комочки микропапилл (фото 3), но нет той яркой атипии и гиперхроматоза, которые хочется увидеть в серозной карциноме
По данным соскоба из иного лечебного учреждения было известно, что эта невнятная картинка должна была оказаться смешанной эндометриоидной+серозной карциномой с преобладание серозного компонента
Конечно, это не показалось столь самоочевидным
Уверенно мутированный и диковатый р53 (фото 5) в разных частях опухоли удивили, само собой, виментин (фото 6), потерянный в обнимку с эстрогеном (фото 7), тоже оказался занимательным
Конечно, можно вглядеться и обнаружить маленькие комочки микропапилл (фото 3), но нет той яркой атипии и гиперхроматоза, которые хочется увидеть в серозной карциноме
По данным соскоба из иного лечебного учреждения было известно, что эта невнятная картинка должна была оказаться смешанной эндометриоидной+серозной карциномой с преобладание серозного компонента
Конечно, это не показалось столь самоочевидным
Уверенно мутированный и диковатый р53 (фото 5) в разных частях опухоли удивили, само собой, виментин (фото 6), потерянный в обнимку с эстрогеном (фото 7), тоже оказался занимательным
❤14✍5😍1