Срочное гистологическое исследование, как много сложностей и проблем таится в этом назначении... Хорошо, и, наверно, немного скучно, когда всё понятно, и только один вопрос хочется задать - ну и зачем я смотрю дермоидную кисту в качестве объекта срочного исследования? и Совершенно иная картина, когда именно в контексте срочного исследования сталкиваешься с тем или иным видом опухоли впервые
Так и было в этот раз - по препарату "цито" (фото 1) единственный диагноз, который пришёл в голову была аденосаркома - яичника, ещё и у молодой женщины
На препарате уже залитой в парафин "цито" (фото 2) - уверенности стало вроде и поменьше, а вдруг это просто такой некрасивенький эндометриоз
Но основной массив материала (фото 3-4), конечно, уверил в своей зловредности, хоть и неравномерно распределённой - где-то множественные митозы в строме были очевидны, где-то лишь единичные, где-то железистый компонент соответствует условной норме, а где-то делает поползновения походить на по меньшей мере атипическую гиперплазию
Так и было в этот раз - по препарату "цито" (фото 1) единственный диагноз, который пришёл в голову была аденосаркома - яичника, ещё и у молодой женщины
На препарате уже залитой в парафин "цито" (фото 2) - уверенности стало вроде и поменьше, а вдруг это просто такой некрасивенький эндометриоз
Но основной массив материала (фото 3-4), конечно, уверил в своей зловредности, хоть и неравномерно распределённой - где-то множественные митозы в строме были очевидны, где-то лишь единичные, где-то железистый компонент соответствует условной норме, а где-то делает поползновения походить на по меньшей мере атипическую гиперплазию
❤15
А вот и второй объект с одной срочной - очаг в сальнике
В моменте показалось, что вроде всё выглядит так же, как и в яичнике, так что сложилось представление о метастатическом поражении
Однако в дальнейшем стало очевидно, что очаги в сальнике (а их было много) всё же имеют вид самого типичного и обычного эндометриоза без намёков на атипию кого-либо компонентов (фото 2-3)
В целом, в брюшной полости определялись множественные эндометриоидные гетеротопии, и лишь участок в параметрии с той же стороны, что и поражённый яичник, вызвал подозрения (фото 4-5) - больно уж некрасивые ядра у стромальных клеток, железистый компонент тоже уже не такой ровный и красивый, как у собратьев
В моменте показалось, что вроде всё выглядит так же, как и в яичнике, так что сложилось представление о метастатическом поражении
Однако в дальнейшем стало очевидно, что очаги в сальнике (а их было много) всё же имеют вид самого типичного и обычного эндометриоза без намёков на атипию кого-либо компонентов (фото 2-3)
В целом, в брюшной полости определялись множественные эндометриоидные гетеротопии, и лишь участок в параметрии с той же стороны, что и поражённый яичник, вызвал подозрения (фото 4-5) - больно уж некрасивые ядра у стромальных клеток, железистый компонент тоже уже не такой ровный и красивый, как у собратьев
❤13
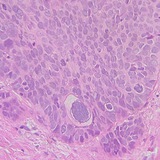
И чуть менее драматично - рецидив дисгерминомы яичника
Опухоль типичного вида во всех смыслах, проваливается в сосуды (фото 1) или просто ползает где-то рядом с ними (фото 3)
Опухоль типичного вида во всех смыслах, проваливается в сосуды (фото 1) или просто ползает где-то рядом с ними (фото 3)
❤11👍6
Казалось бы, обычная эндометриодная low grade аденокарцинома и всё понятно...
Но немного странно, что уже есть лимфоваскулярная инвазия (фото 4) и даже метастазы в лимфоузлы, тем более, в группу парааортальных лимфоузлов (фото 5, 6)
Поведение опухоли как-то не увязывается с как будто "доброй" морфологией, а значит надо подумать немного побольше
Экспрессия гормонов отсутствует, дикий тип экспрессии р53 - снова что-то не складывается привычным образом, зато есть очаговое окрашивание ядер ttf1 (фото 7) и gata3 (фото 8)
Не самые обычные и привычные антитела, но без них никак - раз уж возникла потребность доказать мезонефроподобную карциному тела матки
С одной стороны, это достаточно редкая карцинома, а с другой - морфология крайне обманчивая для столь агрессивной опухоли
Но немного странно, что уже есть лимфоваскулярная инвазия (фото 4) и даже метастазы в лимфоузлы, тем более, в группу парааортальных лимфоузлов (фото 5, 6)
Поведение опухоли как-то не увязывается с как будто "доброй" морфологией, а значит надо подумать немного побольше
Экспрессия гормонов отсутствует, дикий тип экспрессии р53 - снова что-то не складывается привычным образом, зато есть очаговое окрашивание ядер ttf1 (фото 7) и gata3 (фото 8)
Не самые обычные и привычные антитела, но без них никак - раз уж возникла потребность доказать мезонефроподобную карциному тела матки
С одной стороны, это достаточно редкая карцинома, а с другой - морфология крайне обманчивая для столь агрессивной опухоли
🔥37❤3