И чуть менее драматично - рецидив дисгерминомы яичника
Опухоль типичного вида во всех смыслах, проваливается в сосуды (фото 1) или просто ползает где-то рядом с ними (фото 3)
Опухоль типичного вида во всех смыслах, проваливается в сосуды (фото 1) или просто ползает где-то рядом с ними (фото 3)
❤11👍6
Казалось бы, обычная эндометриодная low grade аденокарцинома и всё понятно...
Но немного странно, что уже есть лимфоваскулярная инвазия (фото 4) и даже метастазы в лимфоузлы, тем более, в группу парааортальных лимфоузлов (фото 5, 6)
Поведение опухоли как-то не увязывается с как будто "доброй" морфологией, а значит надо подумать немного побольше
Экспрессия гормонов отсутствует, дикий тип экспрессии р53 - снова что-то не складывается привычным образом, зато есть очаговое окрашивание ядер ttf1 (фото 7) и gata3 (фото 8)
Не самые обычные и привычные антитела, но без них никак - раз уж возникла потребность доказать мезонефроподобную карциному тела матки
С одной стороны, это достаточно редкая карцинома, а с другой - морфология крайне обманчивая для столь агрессивной опухоли
Но немного странно, что уже есть лимфоваскулярная инвазия (фото 4) и даже метастазы в лимфоузлы, тем более, в группу парааортальных лимфоузлов (фото 5, 6)
Поведение опухоли как-то не увязывается с как будто "доброй" морфологией, а значит надо подумать немного побольше
Экспрессия гормонов отсутствует, дикий тип экспрессии р53 - снова что-то не складывается привычным образом, зато есть очаговое окрашивание ядер ttf1 (фото 7) и gata3 (фото 8)
Не самые обычные и привычные антитела, но без них никак - раз уж возникла потребность доказать мезонефроподобную карциному тела матки
С одной стороны, это достаточно редкая карцинома, а с другой - морфология крайне обманчивая для столь агрессивной опухоли
🔥37❤3
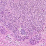
На сегодня просто симпатичные раковые "жемчужины" в классической плоскоклеточной карциноме, локализация - вульва
❤25👍6🆒5
В лейомиосаркомах тела матки нередки участки с выраженной ядерной атипией и примечательным плеоморфизмом клеток, но в этом архивном случае большая часть опухоль состояла из крупных многоядерных/остеокластоподобных клеток
Опухолевый узел был размерами 18х15х15 см и серо-зелёного цвета - макроскопически складывалось впечатление о преобладании некроза над живой опухолевой массой, но на препаратах оказалось, что некроза не так уж и много
Помимо очевидного инвазивного роста саркомы в миометрии, определялась и васкулярная инвазия, хотя на оставшемся скане оказались лишь не самые однозначные участки (фото 5) - то ли это облитерация сосуда опухолевой массой, то ли такой опухолевый отводок в толще миометрия
Опухолевый узел был размерами 18х15х15 см и серо-зелёного цвета - макроскопически складывалось впечатление о преобладании некроза над живой опухолевой массой, но на препаратах оказалось, что некроза не так уж и много
Помимо очевидного инвазивного роста саркомы в миометрии, определялась и васкулярная инвазия, хотя на оставшемся скане оказались лишь не самые однозначные участки (фото 5) - то ли это облитерация сосуда опухолевой массой, то ли такой опухолевый отводок в толще миометрия
🔥20👍7
Как оказалось, сходный случай не заставил себя долго ждать - на этот раз это и вправду эндометриоидная аденокарцинома low grade с очевидной яркой экспрессией рецепторов к эстрогену (фото 4) и прогестерону и полным отсутствием экспрессии TTF1 и GATA3
Так же, как и в случае с мезонефроподобной карциномой, отмечалось поражение лимфатических узлов, но, следует отметить, что глубина поражения миометрия была больше в случае эндометриоидной аденокарциномы
Частое часто, конечно, но о редкостях тоже стоит помнить
Так же, как и в случае с мезонефроподобной карциномой, отмечалось поражение лимфатических узлов, но, следует отметить, что глубина поражения миометрия была больше в случае эндометриоидной аденокарциномы
Частое часто, конечно, но о редкостях тоже стоит помнить
❤18👍3