Начнём с непривычного
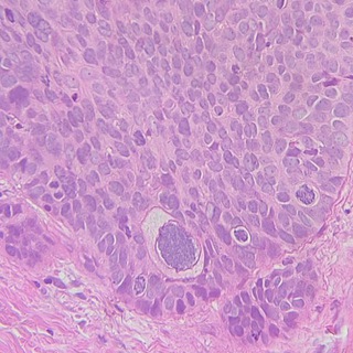
Опустим лирику клинических данных, за исключением данных о соскобе из полости матки с вердиктом - серозная карцинома
Макроскопически тело матки с большим количество крупных миом, опухоль представлена экзофитным полиповидным образованием, серо-белым, плотным, мелкобугристым, инвазия не определяется визуально. Также отмечается узел в строме шейки матки, аналогичный опухоли вышеописанного вида. В целом, соответствует ранее встречавшейся картине серозных карцином.
Гистологическая картина уже отличается разнообразием - помимо участков солидного строения с выраженной ядерной атипией, определяются и участки железистого строения, клеточная атипия значимо менее выражена. Особенно на первый взгляд, конечно, всматриваясь в такие эндометриодно-подобные участки, становятся очевидными и микропапиллярные структуры, и очагово выраженный плеоморфизм клеток.
При ИГХИ экспрессия ER/PR полностью отсутствуют в обоих зонах, яркая гиперэкспрессия р53 и неоднородная экспрессия Her2.
Опустим лирику клинических данных, за исключением данных о соскобе из полости матки с вердиктом - серозная карцинома
Макроскопически тело матки с большим количество крупных миом, опухоль представлена экзофитным полиповидным образованием, серо-белым, плотным, мелкобугристым, инвазия не определяется визуально. Также отмечается узел в строме шейки матки, аналогичный опухоли вышеописанного вида. В целом, соответствует ранее встречавшейся картине серозных карцином.
Гистологическая картина уже отличается разнообразием - помимо участков солидного строения с выраженной ядерной атипией, определяются и участки железистого строения, клеточная атипия значимо менее выражена. Особенно на первый взгляд, конечно, всматриваясь в такие эндометриодно-подобные участки, становятся очевидными и микропапиллярные структуры, и очагово выраженный плеоморфизм клеток.
При ИГХИ экспрессия ER/PR полностью отсутствуют в обоих зонах, яркая гиперэкспрессия р53 и неоднородная экспрессия Her2.
🔥2👍1
Казалось бы, ничего особенного на первый взгляд, и какая всё таки лирика в такой смеси опухолевых фенотипов
Продолжаем проблемы серозных карцином тела матки
По данным соскоба - серозная карцинома тела матки, по данным МРТ - признаков опухолевого роста не выявлено
Макроскопический эндометрий гладкий, тонкий, без макроскопически определяемых опухолевых фокусов, эндометрий взят в исследование тотально
Гистологическая картина более любопытная - неожиданной находкой стала распространённая, пусть и малоинвазивная, эндометриоидная аденокарцинома, среди которой оказались лишь крайне немногочисленные опухолевые структуры серозной карциномы, выделяющиеся своим плеоморфизмом
По данным соскоба - серозная карцинома тела матки, по данным МРТ - признаков опухолевого роста не выявлено
Макроскопический эндометрий гладкий, тонкий, без макроскопически определяемых опухолевых фокусов, эндометрий взят в исследование тотально
Гистологическая картина более любопытная - неожиданной находкой стала распространённая, пусть и малоинвазивная, эндометриоидная аденокарцинома, среди которой оказались лишь крайне немногочисленные опухолевые структуры серозной карциномы, выделяющиеся своим плеоморфизмом
🔥7👍2
И снова эндометриоидные карциномы - на этот раз синхронное поражение тела матки и яичника
По клиническим данным (МРТ) обращал внимание резко увеличенный правый яичник, кистозно-солидного строения, описание тела матки было кратким - признаки гиперплазии эндометрия, возможно полип
Макроскопически правый яичник кистозно-солидного строения, кисты заполнены тёмно-коричневым содержимым, солидный компонент серо-белый, на стенках кист формирует отдельные папиллярные структуры. Эндометрий резко утолщён, рыхлый, серо-белый - матка не была вскрыта, нельзя исключить аутолиз
Гистологически - эндометрий замещён эндометриоидной аденокарциномой с множественными фокусами плоскоклеточной дифференцировки (фото 1-3), инвазия менее 1/2 миометрия
В яичнике же - ровные чёткие железистые структуры высокодифференцированной эндометриоидной аденокарциномы (фото 4-6). Не каждый раз можно увидеть настолько параллельными рядами идущие железы, в чём есть определённое очарование
По клиническим данным (МРТ) обращал внимание резко увеличенный правый яичник, кистозно-солидного строения, описание тела матки было кратким - признаки гиперплазии эндометрия, возможно полип
Макроскопически правый яичник кистозно-солидного строения, кисты заполнены тёмно-коричневым содержимым, солидный компонент серо-белый, на стенках кист формирует отдельные папиллярные структуры. Эндометрий резко утолщён, рыхлый, серо-белый - матка не была вскрыта, нельзя исключить аутолиз
Гистологически - эндометрий замещён эндометриоидной аденокарциномой с множественными фокусами плоскоклеточной дифференцировки (фото 1-3), инвазия менее 1/2 миометрия
В яичнике же - ровные чёткие железистые структуры высокодифференцированной эндометриоидной аденокарциномы (фото 4-6). Не каждый раз можно увидеть настолько параллельными рядами идущие железы, в чём есть определённое очарование
👍3🔥2
Опухоль яичника, в целом, ограничена яичником (не считая нескольких мелких фокусов роста на капсуле), лимфоваскулярной инвазии и непосредственного роста одной опухоли в другую не было выявлено, что и позволило уверенно утверждать о синхронности опухолей
Судить о фокусах атипической гиперплазии в эндометрии/пограничной эндометриоидной опухоли затруднительно, в виду с одной стороны аутолитических и некротических изменений в опухолях, с другой стороны в виду большого объёма первичной опухоли яичника
Судить о фокусах атипической гиперплазии в эндометрии/пограничной эндометриоидной опухоли затруднительно, в виду с одной стороны аутолитических и некротических изменений в опухолях, с другой стороны в виду большого объёма первичной опухоли яичника
Продолжая вопрос об определении первичной/метастатической природы эндометриоидной опухоли яичника - помимо всего прочего, важным признаком является наличие различных предшествующих состояний: эндометриальных желёз без признаков очевидной атипии (фото 2), фокусы желёз с атипией и микроинвазивным ростом (фото 3 и 4). На препарате оказался сравнительно удачный участок, на котором определяется всё и сразу (фото 1)
👍2
