И снова эндометриоидные карциномы - на этот раз синхронное поражение тела матки и яичника
По клиническим данным (МРТ) обращал внимание резко увеличенный правый яичник, кистозно-солидного строения, описание тела матки было кратким - признаки гиперплазии эндометрия, возможно полип
Макроскопически правый яичник кистозно-солидного строения, кисты заполнены тёмно-коричневым содержимым, солидный компонент серо-белый, на стенках кист формирует отдельные папиллярные структуры. Эндометрий резко утолщён, рыхлый, серо-белый - матка не была вскрыта, нельзя исключить аутолиз
Гистологически - эндометрий замещён эндометриоидной аденокарциномой с множественными фокусами плоскоклеточной дифференцировки (фото 1-3), инвазия менее 1/2 миометрия
В яичнике же - ровные чёткие железистые структуры высокодифференцированной эндометриоидной аденокарциномы (фото 4-6). Не каждый раз можно увидеть настолько параллельными рядами идущие железы, в чём есть определённое очарование
По клиническим данным (МРТ) обращал внимание резко увеличенный правый яичник, кистозно-солидного строения, описание тела матки было кратким - признаки гиперплазии эндометрия, возможно полип
Макроскопически правый яичник кистозно-солидного строения, кисты заполнены тёмно-коричневым содержимым, солидный компонент серо-белый, на стенках кист формирует отдельные папиллярные структуры. Эндометрий резко утолщён, рыхлый, серо-белый - матка не была вскрыта, нельзя исключить аутолиз
Гистологически - эндометрий замещён эндометриоидной аденокарциномой с множественными фокусами плоскоклеточной дифференцировки (фото 1-3), инвазия менее 1/2 миометрия
В яичнике же - ровные чёткие железистые структуры высокодифференцированной эндометриоидной аденокарциномы (фото 4-6). Не каждый раз можно увидеть настолько параллельными рядами идущие железы, в чём есть определённое очарование
👍3🔥2
Опухоль яичника, в целом, ограничена яичником (не считая нескольких мелких фокусов роста на капсуле), лимфоваскулярной инвазии и непосредственного роста одной опухоли в другую не было выявлено, что и позволило уверенно утверждать о синхронности опухолей
Судить о фокусах атипической гиперплазии в эндометрии/пограничной эндометриоидной опухоли затруднительно, в виду с одной стороны аутолитических и некротических изменений в опухолях, с другой стороны в виду большого объёма первичной опухоли яичника
Судить о фокусах атипической гиперплазии в эндометрии/пограничной эндометриоидной опухоли затруднительно, в виду с одной стороны аутолитических и некротических изменений в опухолях, с другой стороны в виду большого объёма первичной опухоли яичника
Продолжая вопрос об определении первичной/метастатической природы эндометриоидной опухоли яичника - помимо всего прочего, важным признаком является наличие различных предшествующих состояний: эндометриальных желёз без признаков очевидной атипии (фото 2), фокусы желёз с атипией и микроинвазивным ростом (фото 3 и 4). На препарате оказался сравнительно удачный участок, на котором определяется всё и сразу (фото 1)
👍2
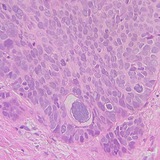
Наконец отойдём немного от эндометриоидных аденокарцином к эндоцервикальным
Сколько бы раз не пришлось с ними столкнуться, это каждый раз были неприятные случаи с рядом нюансов
Всё сравнительно просто с такими папиллярными ровными рядами клеток, как на фото 3, соответствующих типичной ВПЧ-ассоциированной аденокарциноме, и значительно сложнее с ситуациями с формированием структур SMILE и аналогичных карцином - выраженная атипия начинает уводить мысли в сторону не-ВПЧ поражений порой. А на последнем фото - случай аденокарциномы после проведённой химиотерапии - длительные поиски по материалу дали лишь такой ограниченный результат
Сколько бы раз не пришлось с ними столкнуться, это каждый раз были неприятные случаи с рядом нюансов
Всё сравнительно просто с такими папиллярными ровными рядами клеток, как на фото 3, соответствующих типичной ВПЧ-ассоциированной аденокарциноме, и значительно сложнее с ситуациями с формированием структур SMILE и аналогичных карцином - выраженная атипия начинает уводить мысли в сторону не-ВПЧ поражений порой. А на последнем фото - случай аденокарциномы после проведённой химиотерапии - длительные поиски по материалу дали лишь такой ограниченный результат
🦄4🔥2❤1
И ещё немного в сторону - метастаз муцинозной аденокарциномы в сальник, беременность 37 недель
Операция по аднексэктомии и резекции сальника выполнены после выполнения кесарева сечения
Опухолевые железы очевидны в сальнике, равно как и крупные, полигональные, децидуализированные стромальные клетки сальника - так называемый, децидуоз сальника
Возможно, это мне так везёт, но достаточно часто в сальниках от беременных женщин, между делом, встречается это состояние. Природа его неясна, связывают с гормональным воздействием, чаще всего встречается на поздних сроках беременности
Что же касается природы самой опухоли, то мнения разделились, с одной стороны было предположение, что это первичная муцинозная аденокарцинома яичника, с другой - что это метастаз из органов ЖКТ
Двустороннее поражение не самая характерная черта для первичной опухоли, но и клинический поиск не выявил первичного очага в иных органах, так что некоторая загадочность продолжает оставаться
Операция по аднексэктомии и резекции сальника выполнены после выполнения кесарева сечения
Опухолевые железы очевидны в сальнике, равно как и крупные, полигональные, децидуализированные стромальные клетки сальника - так называемый, децидуоз сальника
Возможно, это мне так везёт, но достаточно часто в сальниках от беременных женщин, между делом, встречается это состояние. Природа его неясна, связывают с гормональным воздействием, чаще всего встречается на поздних сроках беременности
Что же касается природы самой опухоли, то мнения разделились, с одной стороны было предположение, что это первичная муцинозная аденокарцинома яичника, с другой - что это метастаз из органов ЖКТ
Двустороннее поражение не самая характерная черта для первичной опухоли, но и клинический поиск не выявил первичного очага в иных органах, так что некоторая загадочность продолжает оставаться
👍2🔥2
Уже так долго времени я с упорством, достойным лучшего применения, вырезаю фимбрии всех маточных труб, которые попадаются по дороге, приговаривая, что это делается во имя исключения серозного рака - и вот теперь появился случай, который полностью оправдывает все мои моральные терзания о бессмысленности этих действий
Исходно - операция двусторонней аднексэктомии по поводу двусторонних дермоидных кист, придатки не маркированы, кисты примерно одинаковых размеров
Фимбриальный конец с одной стороны содержит как участки дисплазии эпителия, так и фокусы инвазивного роста очевидно низкодифференцированной карциномы
При ИГХИ - гиперэкспрессия р53, в большей степени очевидная в поверхностном эпителии, яркая экспрессия WT1, неравномерная экспрессия ER и отсутствие экспрессии PR
Исходно - операция двусторонней аднексэктомии по поводу двусторонних дермоидных кист, придатки не маркированы, кисты примерно одинаковых размеров
Фимбриальный конец с одной стороны содержит как участки дисплазии эпителия, так и фокусы инвазивного роста очевидно низкодифференцированной карциномы
При ИГХИ - гиперэкспрессия р53, в большей степени очевидная в поверхностном эпителии, яркая экспрессия WT1, неравномерная экспрессия ER и отсутствие экспрессии PR
🔥7👍3