Видишь серозный рак? - А он есть
Конечно, можно вглядеться и обнаружить маленькие комочки микропапилл (фото 3), но нет той яркой атипии и гиперхроматоза, которые хочется увидеть в серозной карциноме
По данным соскоба из иного лечебного учреждения было известно, что эта невнятная картинка должна была оказаться смешанной эндометриоидной+серозной карциномой с преобладание серозного компонента
Конечно, это не показалось столь самоочевидным
Уверенно мутированный и диковатый р53 (фото 5) в разных частях опухоли удивили, само собой, виментин (фото 6), потерянный в обнимку с эстрогеном (фото 7), тоже оказался занимательным
Конечно, можно вглядеться и обнаружить маленькие комочки микропапилл (фото 3), но нет той яркой атипии и гиперхроматоза, которые хочется увидеть в серозной карциноме
По данным соскоба из иного лечебного учреждения было известно, что эта невнятная картинка должна была оказаться смешанной эндометриоидной+серозной карциномой с преобладание серозного компонента
Конечно, это не показалось столь самоочевидным
Уверенно мутированный и диковатый р53 (фото 5) в разных частях опухоли удивили, само собой, виментин (фото 6), потерянный в обнимку с эстрогеном (фото 7), тоже оказался занимательным
❤14✍5😍1
Аденокистозный рак выглядит любопытно всегда и везде - в том числе, когда он проделал долгий путь до лёгких
Из анамнеза известно, что пациентка с 2014 года живёт с аденокистозным раком вульвы, регулярно получает химиотерапию и проходит хирургическое лечение по поводу местных рецидивов, а теперь - и по поводу метастазов в лёгкие
Удивительно, что не смотря на такой долгий путь, карцинома всё ещё не теряет классического вида
Из анамнеза известно, что пациентка с 2014 года живёт с аденокистозным раком вульвы, регулярно получает химиотерапию и проходит хирургическое лечение по поводу местных рецидивов, а теперь - и по поводу метастазов в лёгкие
Удивительно, что не смотря на такой долгий путь, карцинома всё ещё не теряет классического вида
🔥11✍4🕊2
Раз недавно была неочевидная серозная карцинома - то вот и откровенно прямолинейные варианты серозной карциномы тела матки (фото 1-3) и серозной карциномы high grade яичника (фото 4-6)
👍10❤5✍1
Срочные гистологические исследования поле для бесконечных тревог, вряд ли кто-то скажет, что ему всё всегда понятно и очевидно в этом невнятном нефиксированном мире
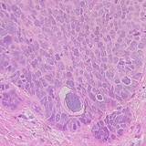
Тогда тем более радуют ситуации, когда проявления той или иной патологии сразу и достаточно однозначно бросаются в глаза - как в этом случае небольшого, но приметного метастаза плоскоклеточной карциномы в тазовом лимфоузле
Препараты срочных исследований часто немного более эозинофильные, чем хочется в нашей лаборатории (фото 1-3), но даже в этом мареве насыщенно розовые оконтуренные клетки выделяются на общем фоне
Тогда тем более радуют ситуации, когда проявления той или иной патологии сразу и достаточно однозначно бросаются в глаза - как в этом случае небольшого, но приметного метастаза плоскоклеточной карциномы в тазовом лимфоузле
Препараты срочных исследований часто немного более эозинофильные, чем хочется в нашей лаборатории (фото 1-3), но даже в этом мареве насыщенно розовые оконтуренные клетки выделяются на общем фоне
🔥12❤9
Качество микропрепаратов лежит в основе адекватной диагностике, но в то же время определённая доля субъективности в оценке присутствует
Консультационный материал по ощущениям излишне базофильный и сливающийся в единую массу, из-за чего представление о случае как сочетании плоскоклеточной карциномы (фото 1 и 2) и аденокарциномы in situ (фото 3) показалось вполне резонным
На "родном" окрашивании (которое вполне иные коллеги могут назвать перекрашенным эозином) показалось, что платы многослойного плоского не совсем пласты и не совсем плоские, исследование дополнилось окраской альциановым синим - начала проступать слизь среди монолитных пластов (фото 5)
При исследовании операционного материала стало тем более очевидно, что это вариант эндоцервикальной аденокарциномы - инвазивная стратифицированная муцин-продуцирующая карцинома (громоздкая какая-то конструкция, устанешь говорить)
Консультационный материал по ощущениям излишне базофильный и сливающийся в единую массу, из-за чего представление о случае как сочетании плоскоклеточной карциномы (фото 1 и 2) и аденокарциномы in situ (фото 3) показалось вполне резонным
На "родном" окрашивании (которое вполне иные коллеги могут назвать перекрашенным эозином) показалось, что платы многослойного плоского не совсем пласты и не совсем плоские, исследование дополнилось окраской альциановым синим - начала проступать слизь среди монолитных пластов (фото 5)
При исследовании операционного материала стало тем более очевидно, что это вариант эндоцервикальной аденокарциномы - инвазивная стратифицированная муцин-продуцирующая карцинома (громоздкая какая-то конструкция, устанешь говорить)
🔥14❤6👍4