Гинопати – Telegram
Гинопати
616 subscribers
265 photos
Канал существует для удовлетворения чувства прекрасного и расширения кругозора, образовательной и просветительские цели не преследует
Автор человек и может быть не прав
Консультации по фотографиям и со слов автор не даёт и осуждает
Download Telegram
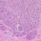
Продолжая вопрос об определении первичной/метастатической природы эндометриоидной опухоли яичника - помимо всего прочего, важным признаком является наличие различных предшествующих состояний: эндометриальных желёз без признаков очевидной атипии (фото 2), фокусы желёз с атипией и микроинвазивным ростом (фото 3 и 4). На препарате оказался сравнительно удачный участок, на котором определяется всё и сразу (фото 1)
👍2
Наконец отойдём немного от эндометриоидных аденокарцином к эндоцервикальным
Сколько бы раз не пришлось с ними столкнуться, это каждый раз были неприятные случаи с рядом нюансов
Всё сравнительно просто с такими папиллярными ровными рядами клеток, как на фото 3, соответствующих типичной ВПЧ-ассоциированной аденокарциноме, и значительно сложнее с ситуациями с формированием структур SMILE и аналогичных карцином - выраженная атипия начинает уводить мысли в сторону не-ВПЧ поражений порой. А на последнем фото - случай аденокарциномы после проведённой химиотерапии - длительные поиски по материалу дали лишь такой ограниченный результат
🦄4🔥21
И ещё немного в сторону - метастаз муцинозной аденокарциномы в сальник, беременность 37 недель
Операция по аднексэктомии и резекции сальника выполнены после выполнения кесарева сечения
Опухолевые железы очевидны в сальнике, равно как и крупные, полигональные, децидуализированные стромальные клетки сальника - так называемый, децидуоз сальника
Возможно, это мне так везёт, но достаточно часто в сальниках от беременных женщин, между делом, встречается это состояние. Природа его неясна, связывают с гормональным воздействием, чаще всего встречается на поздних сроках беременности
Что же касается природы самой опухоли, то мнения разделились, с одной стороны было предположение, что это первичная муцинозная аденокарцинома яичника, с другой - что это метастаз из органов ЖКТ
Двустороннее поражение не самая характерная черта для первичной опухоли, но и клинический поиск не выявил первичного очага в иных органах, так что некоторая загадочность продолжает оставаться
👍2🔥2
Уже так долго времени я с упорством, достойным лучшего применения, вырезаю фимбрии всех маточных труб, которые попадаются по дороге, приговаривая, что это делается во имя исключения серозного рака - и вот теперь появился случай, который полностью оправдывает все мои моральные терзания о бессмысленности этих действий
Исходно - операция двусторонней аднексэктомии по поводу двусторонних дермоидных кист, придатки не маркированы, кисты примерно одинаковых размеров
Фимбриальный конец с одной стороны содержит как участки дисплазии эпителия, так и фокусы инвазивного роста очевидно низкодифференцированной карциномы
При ИГХИ - гиперэкспрессия р53, в большей степени очевидная в поверхностном эпителии, яркая экспрессия WT1, неравномерная экспрессия ER и отсутствие экспрессии PR
🔥7👍3
Серозная тубарная интраэпителиальная карцинома, или STIC, ранее попадалась разве что в контексте полноценных серозных карцином с диссеминацией в брюшной полости, учитывая, что объём текущей операции не распространялся на сальник - утверждать, что процесс носит такой ограниченный характер можно с большой осторожностью
На примере как раз один из таких архивных случаев - яичник, очевидно, замещён опухоль тотально, вероятно, достаточно больших размеров, и в то же время - в прилагающемся фимбриальном конце картина лишь начавшегося развития опухоли
🔥6
А это, собственно, исходно беспокоившие дермоидные кисты, вернее, одна из них
Хотя вырезка таких ребят не самое приятное, что есть на свете, сальные массы и волосы никого не радуют, но с другой стороны - находит в них оригинально сложившие гистологические типы тканей крайне занятно
Вот эта, как мне кажется, решила сделать немного шеи - построила хрящ, организовалась рядом выстилка реснитчатым многорядным эпителием, а неподалёку ещё щитовидная железа притулилась
Основной состав представлен более обыденными придатками кожи и эпидермисом, ничего более интересного не нашлось на этот раз
🔥6👍1