Выглядит ли это как однозначная эндометриоидная аденокарцинома яичника (фото 1)? Наверно не совсем
Но в совокупности со сведениями МРТ, говорящими о распространённом опухолевом процессе в малом тазу, и немного ранее присланному соскобу из полости матки с очевидными структурами карциномы (фото 3), становится проще и понятнее
Однозначно судить о том, что было первее может быть непросто, учитывая отсутствие операционного материала матки, двустороннее поражение яичников с поражением сальника (фото 4), а также известно о распространении опухоли на верхний свод влагалища (фото 5)
Но, наверно, это уже не так уж и важно
Но в совокупности со сведениями МРТ, говорящими о распространённом опухолевом процессе в малом тазу, и немного ранее присланному соскобу из полости матки с очевидными структурами карциномы (фото 3), становится проще и понятнее
Однозначно судить о том, что было первее может быть непросто, учитывая отсутствие операционного материала матки, двустороннее поражение яичников с поражением сальника (фото 4), а также известно о распространении опухоли на верхний свод влагалища (фото 5)
Но, наверно, это уже не так уж и важно
🔥14👍3❤1
Иногда случаются ситуации, когда идеи отсутствуют совместно с клиническим данными, состоящими из скромного диагноза "Миома матки"
Как так вышло такое буйство красок в обычной, казалось бы, матке? Какие события происходили в узле? Что нужно написать?
Гистология не только не внесла ясности, а полностью разрушила любые попытки объяснить происходящее
Ну, наверно определённо есть нарушения кровообращения в узле, наверняка
К сожалению, опция дополнить базовую гистологию не менее базовым ИГХИ отсутствовала, так что пришлось конструировать что-то , состоящее из сомнений и предположений, и вряд ли когда-то появится ясность в этом случае
Как так вышло такое буйство красок в обычной, казалось бы, матке? Какие события происходили в узле? Что нужно написать?
Гистология не только не внесла ясности, а полностью разрушила любые попытки объяснить происходящее
Ну, наверно определённо есть нарушения кровообращения в узле, наверняка
К сожалению, опция дополнить базовую гистологию не менее базовым ИГХИ отсутствовала, так что пришлось конструировать что-то , состоящее из сомнений и предположений, и вряд ли когда-то появится ясность в этом случае
❤10🔥8
Серозные пограничные опухоли яичников сравнительно частый объект исследования, но сколько бы они не встретились - всё равно найдутся какие-то сложности и вопросы
То имплант какой-нибудь странно выглядит, то микроинвазия привидится
С другой стороны, сами папиллярные, а порой и микропапиллярные, структуры отличаются своим особенным очарованием и редко вызывают диагностические трудности
То имплант какой-нибудь странно выглядит, то микроинвазия привидится
С другой стороны, сами папиллярные, а порой и микропапиллярные, структуры отличаются своим особенным очарованием и редко вызывают диагностические трудности
❤15👍7😍1
Любопытная эндометриоидная аденокарцинома, содержащая в себе как участки солидного строения (фото 3), так и практически идеализированные железы, формирующие что-то похожее на рисунок с подушечки пальца
Если в операционном материале это всё выглядело достаточно логично и не вызывало вопрос само по себе, то в материале соскоба из иного учреждения всё выглядело значительно хуже - вплоть до того, складывалось представление о смешанной опухоли в виду гиперхроматоза клеток в солидном компоненте и вакуолизации цитоплазмы части из них ( к сожалению, микрофотографии не успелось сделать)
Если в операционном материале это всё выглядело достаточно логично и не вызывало вопрос само по себе, то в материале соскоба из иного учреждения всё выглядело значительно хуже - вплоть до того, складывалось представление о смешанной опухоли в виду гиперхроматоза клеток в солидном компоненте и вакуолизации цитоплазмы части из них ( к сожалению, микрофотографии не успелось сделать)
❤21
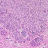
Не-ассоциированные с ВПЧ эпителиальные поражения вульвы могут быть просты и понятны, когда сталкиваешься с ними часто (наверно, я хочу в это верить)
Если же такой случай приходит раз в несколько месяцев - то уверенность не так велика, как хотелось бы
Впрочем, в данном случае всё показалось достаточно простым и убедительным - изменённый участок определялся макроскопически, да и гистологически чётко видна разница с фоновым эпителием - значительное увеличение числа слоёв эпителиального пласта за счёт пара- и гиперкератоза, практически полное исчезновение зернистого слоя, акантоз и немного почаще встречающиеся фигуры митозов в парабазальном слое, хотя стоит отметить, что какой-то особенной атипии клеток не определяется
Если же такой случай приходит раз в несколько месяцев - то уверенность не так велика, как хотелось бы
Впрочем, в данном случае всё показалось достаточно простым и убедительным - изменённый участок определялся макроскопически, да и гистологически чётко видна разница с фоновым эпителием - значительное увеличение числа слоёв эпителиального пласта за счёт пара- и гиперкератоза, практически полное исчезновение зернистого слоя, акантоз и немного почаще встречающиеся фигуры митозов в парабазальном слое, хотя стоит отметить, что какой-то особенной атипии клеток не определяется
❤15🔥4🤨1